Een beetje afvallen vermindert de kans op artrose met een kwart
Als te zware vrouwen tussen vijftig jaar en zestig jaar vijf kilo afvallen, verminderen zij de kans op knie-artrose met 25 procent. Dat blijkt...
Fysiotherapeut berispt voor osteopatie bij lage rugpijn
Beslissing in de zaak onder nummer C2012.010 van: A., wonende te B., appellant, klager in eerste aanleg, tegen C., fysiotherapeut, werkzaam te B., wonende te D., verweerder...
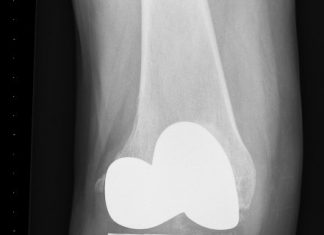
Na drie dagen met een nieuwe knie naar huis
De Sint Maartenskliniek in Woerden is afgelopen week gestart met de invoering van een nieuw hersteltraject voor patiënten die een knieprothese krijgen. Dankzij deze...
Update: Nieuwe beroepsnorm ‘kraken’ van de nek
De Nederlandse Vereniging voor Manuele Therapie (NVMT) heeft een nieuwe beroepsnorm ingesteld voor de manipulatie van de hoog cervicale wervelkolom (het ‘kraken’van de nek). Zij...
Preventieconsult COPD bij de huisarts leidt tot meer vroegtijdige diagnoses
Uit onderzoek van het Maastricht UMC+ blijkt het Preventieconsult COPD effectief te kunnen worden ingevoerd in de huisartsenpraktijk. Zodoende worden twintig procent meer COPD-patiënten...
VtdK: “IGZ verbiedt nekkraken”
"IGZ verbiedt nekkraken" zo kopte de Vereniging tegen de Kwakzalverij afgelopen weekend op haar website. Nekkraken is niet verantwoord, vindt de Inspectie voor de Gezondheidszorg...














