Probleem in kleinste hersenvaten vaak overal merkbaar
Beschadigingen in de kleinste bloedvaten van de hersenen kunnen effecten hebben die overal in het brein merkbaar zijn, stellen onderzoekers van het Radboudumc. Daarom...
Vaker langdurige fysiotherapie bij patiënten met Parkinson
Uit cijfers van Nivel Zorgregistraties blijkt dat mensen met de ziekte van Parkinson vaker via de medisch specialist of de huisarts worden verwezen dan...
“Behandeling lage rugpijn vaak nauwelijks effectief”
Veel patiënten met lage rugklachten krijgen verkeerde zorg. Dit is schadelijk voor miljoenen patiënten in de wereld en kost veel geld. De zorg voor...
Fysiotherapeuten gezocht voor therapietrouw onderzoek bij patiënten met chronische lage rugklachten
De fysiotherapeutische behandeling bij chronische lage rugklachten bestaat voor het grootste deel uit huiswerkoefeningen en/of adviezen. Toch is het bekend dat de therapietrouw vaak...
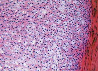
Stukjes gewricht uit de diepvries
In het laboratorium van de afdeling experimentele reumatologie van het Nijmeegse Radboudumc is zojuist knieweefsel binnengebracht van een patiënt bij wie deze middag de...
Meer kinderen met rug- en nekklachten naar de fysiotherapeut
In de cijfers van de NIVEL Zorgregistraties is er vanaf 2013 een stijging te zien in het aantal kinderen die met nek- en rugklachten...














