Tag: onderzoek
Dr. Cindy Veenhof is per 1 oktober benoemd tot hoogleraar Klinische Gezondheidswetenschappen, in het bijzonder de Fysiotherapiewetenschap binnen de afdeling Revalidatie, Verplegingswetenschap & Sport. Cindy...
De regelgeving voor mensen met een chronische ziekte of beperking om thuis hulpmiddelen te krijgen is de afgelopen jaren op diverse onderdelen aangepast. Het...
Onderzoekers van de Universiteit Twente ontraden helmbehandeling voor gezonde baby’s met een matige tot ernstige schedelafplatting. De behandeling blijkt niet effectief, kost veel en...
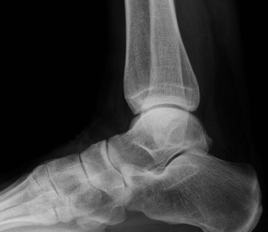
De afdeling Orthopedie van de Sint Maartenskliniek is bezig met de evaluatie van de behandeling bij mensen met chronische hielspoorklachten, ook wel fascïitis plantaris...
Het vertrouwen in specialisten, fysiotherapeuten, huisartsen en ziekenhuizen is over de laatste jaren stabiel en hoog. Hoewel het vertrouwen van consumenten in ziekenhuizen iets...
43% van de deelnemers aan een meldactie van patiëntenfederatie NPCF naar bezuinigingen in de zorg, heeft weleens zorg uitgesteld of zelfs gemeden. Belangrijkste redenen die hiervoor...









