“Fysiotherapie voor reumapatiënt voorlopig vergoed”
Minister Bruins (Medische Zorg) heeft besloten dat het onderzoek naar het effect van langdurige oefentherapie bij twee groepen reumapatiënten van start kan gaan. Het...
‘Fysiotherapie op afstand’ is nu mogelijk onder prestatiecode 1000
Na 2 jaar onderzoek, overleg en onderhandeling is het gelukt helderheid te krijgen over het videoconsult onder prestatiecode 1000. Dat vertelt Frank van Zon,...
Onderzoek naar effect fysiotherapie op het voorschrijven van opioïden bij mensen...
Behandelingen gericht op het structureel veranderen van beweeggedrag, zoals fysiotherapie en oefentherapie, kunnen ertoe bijdragen dat patiënten met chronische pijn minder pijnklachten ervaren. Dit...
Spalken en handtherapie effectief bij artrose van het duimgewricht
Het behandelen van patiënten met artrose aan de duim door middel van handtherapie en spalken, zorgt voor minder pijn en een betere handfunctie dan...
Spiegelinformatie fysiotherapie beschikbaar
Vanaf vandaag kunnen fysiotherapeuten via spiegelinformatiefysio.nl beschikken over de spiegelinformatie van hun praktijk of instelling. Onderdeel van de spiegelinformatie is de landelijke behandelindex. Zorgverzekeraars...
“Beweging met mentale stimulatie helpt dementie te vertragen”
Donderdag 6 juni promoveerde Esther Karssemeijer op het effect van beweging en cognitieve stimulatie bij ouderen. Voor deze stimulatie gebruikte ze een beweeggame waarin...
Grootschalig onderzoek naar gezond oud worden en vitaliteit
Een uitgebreid en multidisciplinair team van verouderingsexperts krijgt ruim 8,5 miljoen euro voor een grootschalig onderzoek naar factoren en oplossingen die bijdragen aan het...
Overlijdenskans na een herseninfarct op jonge leeftijd duidelijk gedaald
De kans op overlijden na een herseninfarct op jonge leeftijd is van 1998 tot2010 duidelijk gedaald, schrijven onderzoekers van het Radboudumc in het medisch...
Paramedische zorg bereikt onderhandelaarsakkoord met minister
De fysio-, ergo-, oefen- en huidtherapeuten, logopedisten, diëtisten, patiënten en zorgverzekeraars hebben een onderhandelaarsakkoord bereikt met Minister Bruno Bruins (Medische Zorg). Belangrijk onderdeel van...
Veel vrouwen kampen na borstkankerbehandeling met gezondheidsklachten
Bijna alle vrouwen die zijn behandeld voor niet-uitgezaaide (‘vroege’) borstkanker hebben tot vijf jaar na diagnose last van gezondheidsproblemen. Meer dan de helft van...
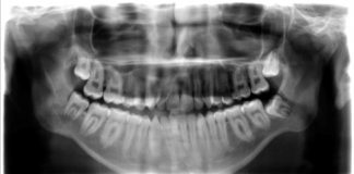
Tandenknarsen en fysiotherapie
Wie tandenknarst, kan soms beter behandeld worden door een kaakfysiotherapeut dan alleen een tandarts. Dat blijkt uit onderzoek van het Radboudumc naar tandenknarsen. Een...
Actiegroep Fysiotherapie: “NZa monitor bevestigt pijnpunten fysiotherapeuten”
Gisteren publiceerde de Nederlandse Zorgautoriteit (NZa) de monitor paramedische zorg. Deze monitor beschrijft de stand van zaken binnen de paramedische zorg in Nederland en...
NZa: “Inzicht in kwaliteit paramedische zorgverlening noodzakelijk”
Zorgaanbieders in de paramedische zorg moeten meer inzicht geven in kwaliteit en de uitkomsten van hun behandelingen voor de patiënt. Zorgverzekeraars kunnen dan meer gaan...
Suikers en alcohol zorgen voor toename levervet
Zoekt u een gezonder alternatief voor alcohol? Dan is een cola of een alcoholvrij biertje niet direct aan te raden. Alcohol en suikerhoudende dranken...

















