Rob
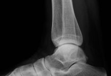
Gezocht: mensen met hielspoorklachten
De afdeling Orthopedie van de Sint Maartenskliniek is bezig met de evaluatie van de behandeling bij mensen met chronische hielspoorklachten, ook wel fascïitis plantaris...
NVMT reageert op “Manuele therapie is kwakzalverij”
Recentelijk kwam het NVMT bestuur met een reactie op de publicatie in Medisch Contact van 24 januari 2014 over "Manuele Therapie is kwakzalverij". Geachte redactie, Hierbij...
Sportschool aan huis met Beweging.TV
Beweging.TV is een online gezondheidsplatform met meer dan 700 oefeningen, adviezen en instructies voor mensen die fit willen zijn en blijven. De site biedt video’s...
Physitrack voor Nederlandse fysiotherapeuten
Voortaan is er voor Nederlandse fysiotherapeuten een nieuwe manier beschikbaar voor het opstellen van thuis-oefenprogramma’s en het bijhouden van therapietrouw. Het in het Verenigd...
Magnetisch uitschuifbare correctiestaaf bij scoliose
In het UMC Utrecht is voor het eerst is in Nederland bij een kind met een ernstige aangeboren vergroeiing van de ruggengraat (ook wel...
Welke keurmerken zijn er in de zorg en zorg-ICT?
Het boek ‘Keurmerken, certificaten en kwaliteitsverklaringen in de zorg’ biedt een praktisch overzicht van 75 kwaliteitsverklaringen In de zorg en zorg-ICT-branche streven steeds meer zorginstellingen...










