“Beweging met mentale stimulatie helpt dementie te vertragen”
Donderdag 6 juni promoveerde Esther Karssemeijer op het effect van beweging en cognitieve stimulatie bij ouderen. Voor deze stimulatie gebruikte ze een beweeggame waarin...
Grootschalig onderzoek naar gezond oud worden en vitaliteit
Een uitgebreid en multidisciplinair team van verouderingsexperts krijgt ruim 8,5 miljoen euro voor een grootschalig onderzoek naar factoren en oplossingen die bijdragen aan het...
Overlijdenskans na een herseninfarct op jonge leeftijd duidelijk gedaald
De kans op overlijden na een herseninfarct op jonge leeftijd is van 1998 tot2010 duidelijk gedaald, schrijven onderzoekers van het Radboudumc in het medisch...
Veel vrouwen kampen na borstkankerbehandeling met gezondheidsklachten
Bijna alle vrouwen die zijn behandeld voor niet-uitgezaaide (‘vroege’) borstkanker hebben tot vijf jaar na diagnose last van gezondheidsproblemen. Meer dan de helft van...
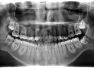
Tandenknarsen en fysiotherapie
Wie tandenknarst, kan soms beter behandeld worden door een kaakfysiotherapeut dan alleen een tandarts. Dat blijkt uit onderzoek van het Radboudumc naar tandenknarsen. Een...
Ouderen met COPD zijn gebaat bij gespecialiseerd revalidatieprogramma
Specialist ouderengeneeskunde Leonoor van Dam van Isselt ontwikkelde een revalidatie-zorgpad voor ouderen met de longziekte COPD. In haar proefschrift, dat ze op 4 april...














